IGF1R-Beta单克隆抗体[3C8B1]

AccuSift
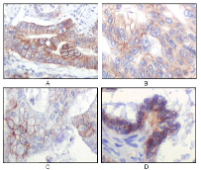
IGF1R-Beta Mouse Monoclonal antibody[3C8B1]
CD221; IGFIR; JTK13; MGC18216; MGC142170; MGC142172; IGF1R
货号 名称 规格 价格 货期 数量
AC2515 IGF1R-Beta单克隆抗体[3C8B1] 50ug ¥1250 1周
AC2515 IGF1R-Beta单克隆抗体[3C8B1] 100ug ¥2200 1周

IGF1R (insulin-like growth factor 1 receptor), a transmembrane receptor tyrosine kinase, is widely expressed in many cell types within fetal and postnatal tissues, and in many cell lines. Upon binding to its ligands, IGF-I and IGF-II, receptor autophosphorylation occurs. The triple tyrosine cluster within the kinase domain (Tyr1131, Tyr1135 and Tyr1136) is the earliest major site of autophosphorylation. Phosphorylation of these three tyrosine residues is necessary for kinase activation.Insulin receptors (IRs) share significant similarity with IGF1 receptors in both structure and function,including an equivalent triple tyrosine cluster within the activation loop of the kinase domain (Tyr1146, Tyr1150 and Tyr1151).Tyrosine autophosphorylation of insulin receptor is one of the earliest cellular responses to insulin stimulation. Autophosphorylation begins with phosphorylation of Tyr1146 and either Tyr1150 or Tyr1151. Full kinase activation requires the triple tyrosine phosphorylation.

   


Aliases:    IGF1R, IGF1R-Beta    

Entrez GeneID:    3480    

Swissprot :   P08069      

WB Predicted band size :   96kDa    

Host/Isotype:    Mouse IgG2b    

Species Reactivity:    Human    

Immunogen:    Purified recombinant fragment of IGF1R-Beta expressed in E. Coli.    

操作说明

IHC    1/200 - 1/1000    

ELISA    1/10000    

参考文献