IFNAR1单克隆抗体[2AB12]

AccuSift
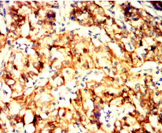
IFNAR1 Mouse Monoclonal antibody[2AB12]
AVP; IFRC; IFNAR; IFNBR; IFN-alpha-REC
货号 名称 规格 价格 货期 数量
AC2509 IFNAR1单克隆抗体[2AB12] 50ug ¥1250 1周
AC2509 IFNAR1单克隆抗体[2AB12] 100ug ¥2200 1周

The protein encoded by this gene is a type I membrane protein that forms one of the two chains of a receptor for interferons alpha and beta. Binding and activation of the receptor stimulates Janus protein kinases, which in turn phosphorylate several proteins, including STAT1 and STAT2. The protein belongs to the type II cytokine receptor family and functions as an antiviral factor.



Aliases :   AVP; IFRC; IFNAR; IFNBR; IFN-alpha-REC    

Entrez GeneID:    3454    

Swissprot :   P17181    

WB Predicted band size :   63.5kDa    

Host/Isotype:    Mouse IgG1    

Species Reactivity :   Human, Mouse    

Immunogen:    Purified recombinant fragment of human IFNAR1 (AA: 28-156) expressed in E. Coli.    

操作说明

WB    1/500 - 1/2000    

IHC    1/200 - 1/1000    

FCM    1/200 - 1/400    

ELISA    1/10000    

参考文献