IDH2单克隆抗体[3E8D1]

AccuSift
IDH2 Mouse Monoclonal antibody[3E8D1]
IDH; IDP; IDHM; IDPM; ICD-M; D2HGA2; mNADP-IDH
货号 名称 规格 价格 货期 数量
AC2507 IDH2单克隆抗体[3E8D1] 50ug ¥1250 1周
AC2507 IDH2单克隆抗体[3E8D1] 100ug ¥2200 1周

Isocitrate dehydrogenases catalyze the oxidative decarboxylation of isocitrate to 2-oxoglutarate. These enzymes belong to two distinct subclasses, one of which utilizes NAD(+) as the electron acceptor and the other NADP(+). Five isocitrate dehydrogenases have been reported: three NAD(+)-dependent isocitrate dehydrogenases, which localize to the mitochondrial matrix, and two NADP(+)-dependent isocitrate dehydrogenases, one of which is mitochondrial and the other predominantly cytosolic. Each NADP(+)-dependent isozyme is a homodimer. The protein encoded by this gene is the NADP(+)-dependent isocitrate dehydrogenase found in the mitochondria. It plays a role in intermediary metabolism and energy production. This protein may tightly associate or interact with the pyruvate dehydrogenase complex. Alternative splicing results in multiple transcript variants. [provided by RefSeq, Feb 2014]



Aliases:    IDH; IDP; IDHM; IDPM; ICD-M; D2HGA2; mNADP-IDH    

Entrez GeneID:    3418    

Swissprot :   P48735      

WB Predicted band size:    50.9kDa    

Host/Isotype:    Mouse IgG1    

Species Reactivity:    Human    

Immunogen:    Purified recombinant fragment of human IDH2 (AA: 1-143) expressed in E. Coli.    

操作说明

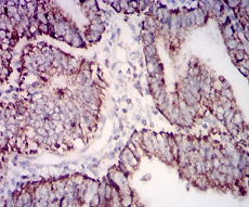
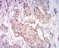
IHC    1/200 - 1/1000    

FCM    1/200 - 1/400    

ELISA    1/10000    

参考文献