ID3单克隆抗体[4C8D8]

AccuSift
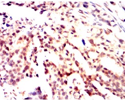
ID3 Mouse Monoclonal antibody[4C8D8]
HEIR-1; bHLHb25
货号 名称 规格 价格 货期 数量
AC2504 ID3单克隆抗体[4C8D8] 50ug ¥1250 1周
AC2504 ID3单克隆抗体[4C8D8] 100ug ¥2200 1周

The protein encoded by this gene is a helix-loop-helix (HLH) protein that can form heterodimers with other HLH proteins. However, the encoded protein lacks a basic DNA-binding domain and therefore inhibits the DNA binding of any HLH protein with which it interacts.



Aliases :   HEIR-1; bHLHb25    

Entrez GeneID :   3399    

Swissprot :   Q02535     

WB Predicted band size:    13kDa    

Host/Isotype :   Mouse IgG1    

Species Reactivity:    Human, Rat    

Immunogen:    Purified recombinant fragment of human ID3 (AA: 1-119) expressed in E. Coli.    

操作说明

IHC    1/200 - 1/1000    

FCM    1/200 - 1/400    

ELISA    1/10000    

参考文献