Human P16单克隆抗体[5A8A4]

AccuSift
Human P16 Mouse Monoclonal antibody[5A8A4]
ARF; MLM; p14; p16; p19; CMM2; INK4; MTS1; TP16; CDK4I; CDKN2; INK4a; p14ARF; p16INK4; p16INK4a; CDKN2A
货号 名称 规格 价格 货期 数量
AC2498 Human P16单克隆抗体[5A8A4] 50ug ¥1250 1周
AC2498 Human P16单克隆抗体[5A8A4] 100ug ¥2200 1周

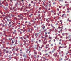
p16 (cyclin-dependent kinase inhibitor 2A, INK4a) is a tumor suppressor protein. It is a specific inhibitor of Cdk 4 / Cdk 6, and a tumor suppressor involved in the pathogenesis of a variety of malignancies. Recent analyses of the p16 INK4a gene revealed homozygous deletions, nonsense, missense, or frameshift mutations in several human cancers. Although the frequency of p16 INK4a abnormalities is higher in tumor derived cell lines than in unselected primary tumors, significant subsets of clinical cases with aberrant p16 INK4a gene have been reported among melanomas, gliomas, esophageal, pancreatic, lung, and urinary bladder carcinomas, and some types of leukemia.



Aliases:    Human P16    

Entrez GeneID:    1029    

Swissprot:    P42771       

Host/Isotype:    Mouse IgG1    

Species Reactivity:    Human    

Immunogen:    Purified recombinant fragment of P16 expressed in E. Coli.    

操作说明

IHC    1/200 - 1/1000    

ELISA    1/10000    

参考文献