HTRA2单克隆抗体[6H7A8]

AccuSift
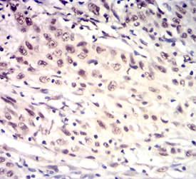
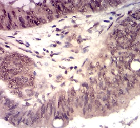
HTRA2 Mouse Monoclonal antibody[6H7A8]
OMI; MGCA8; PARK13; PRSS25
货号 名称 规格 价格 货期 数量
AC2492 HTRA2单克隆抗体[6H7A8] 50ug ¥1250 1周
AC2492 HTRA2单克隆抗体[6H7A8] 100ug ¥2200 1周

This gene encodes a serine protease. The protein has been localized in the endoplasmic reticulum and interacts with an alternatively spliced form of mitogen-activated protein kinase 14. The protein has also been localized to the mitochondria with release to the cytosol following apoptotic stimulus. The protein is thought to induce apoptosis by binding the apoptosis inhibitory protein baculoviral IAP repeat-containing 4. Nuclear localization of this protein has also been observed. Alternate splicing of this gene results in multiple transcript variants encoding different isoforms. [provided by RefSeq, Mar 2016]



Aliases:    OMI; MGCA8; PARK13; PRSS25    

Entrez GeneID:    27429    

Swissprot :   O43464    

WB Predicted band size :   48.8kDa    

Host/Isotype:    Mouse IgG1    

Species Reactivity:    Human,Mouse,Rat    

Immunogen:    Purified recombinant fragment of human HTRA2 (AA: 278-458) expressed in E. Coli.    

操作说明

WB    1/500 - 1/2000    

IHC    1/200 - 1/1000    

FCM    1/200 - 1/400    

ELISA    1/10000    

参考文献