HTR3A单克隆抗体[3B11]

AccuSift
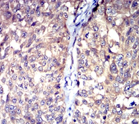
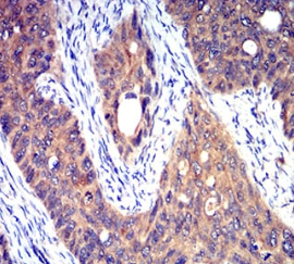
HTR3A Mouse Monoclonal antibody[3B11]
HTR3; 5HT3R; 5-HT-3; 5-HT3A; 5-HT3R
货号 名称 规格 价格 货期 数量
AC2488 HTR3A单克隆抗体[3B11] 50ug ¥1250 1周
AC2488 HTR3A单克隆抗体[3B11] 100ug ¥2200 1周

The product of this gene belongs to the ligand-gated ion channel receptor superfamily. This gene encodes subunit A of the type 3 receptor for 5-hydroxytryptamine (serotonin), a biogenic hormone that functions as a neurotransmitter, a hormone, and a mitogen. This receptor causes fast, depolarizing responses in neurons after activation. It appears that the heteromeric combination of A and B subunits is necessary to provide the full functional features of this receptor, since either subunit alone results in receptors with very low conductance and response amplitude. Alternatively spliced transcript variants encoding different isoforms have been identified.



Aliases :   HTR3; 5HT3R; 5-HT-3; 5-HT3A; 5-HT3R    

Entrez GeneID:    3359    

Swissprot :   P46098    

WB Predicted band size:    55.3kDa    

Host/Isotype:    Mouse IgG2a    

Species Reactivity:    Human    

Immunogen:    Purified recombinant fragment of human HTR3A (AA: extra 24-157) expressed in E. Coli.    

操作说明

IHC    1/200 - 1/1000    

IF/ICC    1/100 - 1/500    

FCM    1/200 - 1/400    

ELISA    1/10000    

参考文献