HSPA9单克隆抗体[3A121]

AccuSift
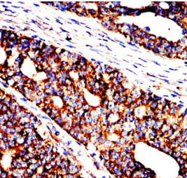
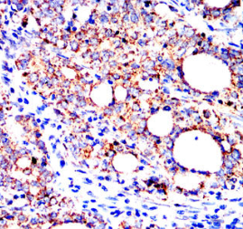
HSPA9 Mouse Monoclonal antibody[3A121]
CSA; MOT; MOT2; SAAN; CRP40; EVPLS; GRP75; PBP74; GRP-75; HSPA9B; SIDBA4; MTHSP75; HEL-S-124m
货号 名称 规格 价格 货期 数量
AC2484 HSPA9单克隆抗体[3A121] 50ug ¥1250 1周
AC2484 HSPA9单克隆抗体[3A121] 100ug ¥2200 1周

This gene encodes a member of the heat shock protein 70 gene family. The encoded protein is primarily localized to the mitochondria but is also found in the endoplasmic reticulum, plasma membrane and cytoplasmic vesicles. This protein is a heat-shock cognate protein. This protein plays a role in cell proliferation, stress response and maintenance of the mitochondria. A pseudogene of this gene is found on chromosome 2.



Aliases:    CSA; MOT; MOT2; SAAN; CRP40; EVPLS; GRP75; PBP74; GRP-75; HSPA9B; SIDBA4; MTHSP75; HEL-S-124m    

Entrez GeneID:    3313    

Swissprot:    P38646    

WB Predicted band size:    74KDa    

Host/Isotype :   Mouse IgG1    

Species Reactivity:    Human,Rat,Monkey    

Immunogen:    Purified recombinant fragment of human HSPA9 (AA: 480-679) expressed in mammalian.    

操作说明

WB    1/500 - 1/2000    

IHC    1/200 - 1/1000    

IF/ICC    1/200 - 1/1000    

FCM    1/200 - 1/400    

ELISA    1/10000    

参考文献