HSP90AB1单克隆抗体[5G4D2]

AccuSift
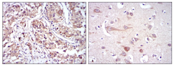
HSP90AB1 Mouse Monoclonal antibody[5G4D2]
HSPC2; HSPCB; D6S182; HSP90B; FLJ26984; HSP90-BETA
货号 名称 规格 价格 货期 数量
AC2482 HSP90AB1单克隆抗体[5G4D2] 50ug ¥1250 1周
AC2482 HSP90AB1单克隆抗体[5G4D2] 100ug ¥2200 1周

HSP90 proteins are highly conserved molecular chaperones that have key roles in signal transduction, protein folding, protein degradation, and morphologic evolution. HSP90 proteins normally associate with other cochaperones and play important roles in folding newly synthesized proteins or stabilizing and refolding denatured proteins after stress. There are 2 major cytosolic HSP90 proteins, HSP90AA1 (MIM 140571), an inducible form, and HSP90AB1, a constitutive form.



Aliases :   HSPC2; HSPCB; D6S182; HSP90B; FLJ26984; HSP90-BETA    

Entrez GeneID:    3326    

Swissprot:    P08238    

WB Predicted band size:    84kDa    

Host/Isotype:    Mouse IgG1    

Species Reactivity:    Human,Mouse,Rat,Monkey    

Immunogen:    Purified recombinant fragment of human HSP90AB1 expressed in E. Coli.    

操作说明

WB    1/500 - 1/2000    

IHC    1/200 - 1/1000    

IF/ICC    1/200 - 1/1000    

FCM    1/200 - 1/400    

ELISA    1/10000    

参考文献