HSP70单克隆抗体[2E4F1]

AccuSift
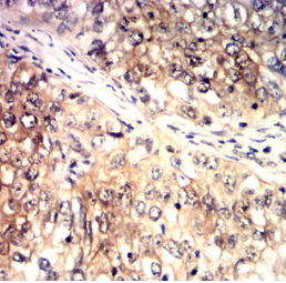
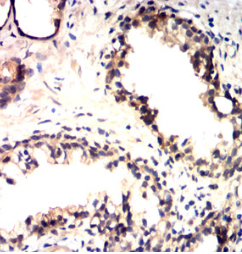
HSP70 Mouse Monoclonal antibody[2E4F1]
HSPA4; RY; APG-2; HSPH2; hsp70; hsp70RY; HEL-S-5a; HS24/P52
货号 名称 规格 价格 货期 数量
AC2477 HSP70单克隆抗体[2E4F1] 50ug ¥1250 1周
AC2477 HSP70单克隆抗体[2E4F1] 100ug ¥2200 1周

HSPA4 (Heat Shock Protein Family A (Hsp70) Member 4) is a Protein Coding gene. Diseases associated with HSPA4 include Vulvovaginitis and Babesiosis. Among its related pathways are Regulation of degradation of deltaF508 CFTR in CF and Chks in Checkpoint Regulation. An important paralog of this gene is HSPA4L.



Aliases:    RY; APG-2; HSPH2; HSPA4; hsp70RY; HEL-S-5a; HS24/P52    

Entrez GeneID:    3308    

Swissprot :   P34932       

WB Predicted band size :   94.3kDa    

Host/Isotype :   Mouse IgG1    

Species Reactivity:    Human, Monkey    

Immunogen :   Purified recombinant fragment of human HSP70 (AA: 642-841) expressed in Mammalian.    

操作说明

WB    1/500 - 1/2000    

IHC    1/200 - 1/1000    

FCM    1/200 - 1/400    

ELISA    1/10000    

参考文献