HSP27单克隆抗体[5D7C6]

AccuSift
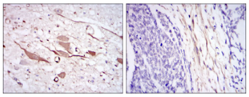
HSP27 Mouse Monoclonal antibody[5D7C6]
CMT2F; HMN2B; HSP27; HSP28; Hsp25; SRP27; HS.76067; DKFZp586P1322; HSPB1
货号 名称 规格 价格 货期 数量
AC2474 HSP27单克隆抗体[5D7C6] 50ug ¥1250 1周
AC2474 HSP27单克隆抗体[5D7C6] 100ug ¥2200 1周

The protein encoded by this gene is induced by environmental stress and developmental changes. The encoded protein is involved in stress resistance and actin organization and translocates from the cytoplasm to the nucleus upon stress induction. Defects in this gene are a cause of Charcot-Marie-Tooth disease type 2F (CMT2F) and distal hereditary motor neuropathy (dHMN). (provided by RefSeq) Tissue specificity: Detected in all tissues tested: skeletal muscle, heart, aorta, large intestine, small intestine, stomach, esophagus, bladder, adrenal gland, thyroid, pancreas, testis, adipose tissue, kidney, liver, spleen, cerebral cortex, blood serum and cerebrospinal fluid. Highest levels are found in the heart and in tissues composed of striated and smooth muscle.



Aliases:    HSPB1;CMT2F; HMN2B; HSP27; HSP28; Hsp25; SRP27; HS.76067; DKFZp586P1322; HSPB1    

Entrez GeneID:    3315    

Swissprot :   P04792    

WB Predicted band size:    23kDa    

Host/Isotype:    Mouse IgG1    

Species Reactivity:    Human,Rat    

Immunogen:    Purified recombinant fragment of human HSP27 expressed in E. Coli.    

操作说明

WB    1/500 - 1/2000    

IHC    1/200 - 1/1000    

IF/ICC    1/200 - 1/1000    

FCM    1/200 - 1/400    

ELISA    1/10000    

参考文献