HMOX1单克隆抗体[2D5E9]

AccuSift
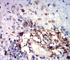
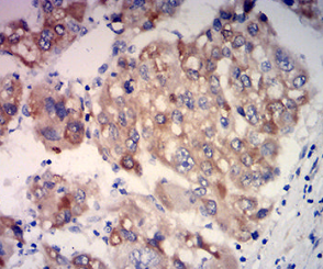
HMOX1 Mouse Monoclonal antibody[2D5E9]
HO-1; HSP32; HMOX1D; bK286B10
货号 名称 规格 价格 货期 数量
AC2460 HMOX1单克隆抗体[2D5E9] 50ug ¥1250 1周
AC2460 HMOX1单克隆抗体[2D5E9] 100ug ¥2200 1周

Heme oxygenase, an essential enzyme in heme catabolism, cleaves heme to form biliverdin, which is subsequently converted to bilirubin by biliverdin reductase, and carbon monoxide, a putative neurotransmitter. Heme oxygenase activity is induced by its substrate heme and by various nonheme substances. Heme oxygenase occurs as 2 isozymes, an inducible heme oxygenase-1 and a constitutive heme oxygenase-2. HMOX1 and HMOX2 belong to the heme oxygenase family.



Aliases:    HO-1; HSP32; HMOX1D; bK286B10    

Entrez GeneID:    3162    

Swissprot :   P09601    

WB Predicted band size:    32.8kDa    

Host/Isotype:    Mouse IgG1    

Species Reactivity:    Human    

Immunogen:    Purified recombinant fragment of human HMOX1 (AA: 1-110) expressed in E. Coli.    

操作说明

IHC    1/200 - 1/1000    

FCM    1/200 - 1/400    

ELISA    1/10000    

参考文献