HLA-DPB1单克隆抗体[5C9F4]

AccuSift
HLA-DPB1 Mouse Monoclonal antibody[5C9F4]
DPB1; HLA-DP; HLA-DPB; HLA-DP1B
货号 名称 规格 价格 货期 数量
AC2453 HLA-DPB1单克隆抗体[5C9F4] 50ug ¥1250 1周
AC2453 HLA-DPB1单克隆抗体[5C9F4] 100ug ¥2200 1周

HLA-DPB belongs to the HLA class II beta chain paralogues. This class II molecule is a heterodimer consisting of an alpha (DPA) and a beta chain (DPB), both anchored in the membrane. It plays a central role in the immune system by presenting peptides derived from extracellular proteins. Class II molecules are expressed in antigen presenting cells (APC: B lymphocytes, dendritic cells, macrophages). The beta chain is approximately 26-28 kDa and its gene contains 6 exons. Exon one encodes the leader peptide, exons 2 and 3 encode the two extracellular domains, exon 4 encodes the transmembrane domain and exon 5 encodes the cytoplasmic tail. Within the DP molecule both the alpha chain and the beta chain contain the polymorphisms specifying the peptide binding specificities, resulting in up to 4 different molecules.



Aliases:    DPB1; HLA-DP; HLA-DPB; HLA-DP1B    

Entrez GeneID:    3115    

Swissprot :   P04440     

WB Predicted band size:    29.2kDa    

Host/Isotype:    Mouse IgG1    

Species Reactivity :   Human,Mouse,Rat    

Immunogen:    Purified recombinant fragment of human HLA-DPB1 (AA: extra 30-215) expressed in E. Coli.    

操作说明

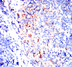
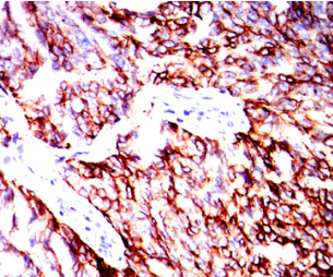
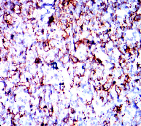
IHC    1/200 - 1/1000    

FCM    1/200 - 1/400    

ELISA    1/10000    

参考文献