HLA-DPA1单克隆抗体[2B1A1]

AccuSift
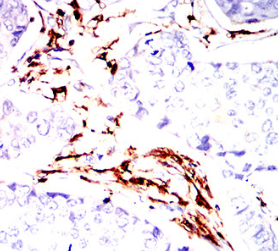
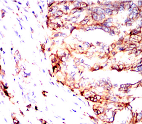
HLA-DPA1 Mouse Monoclonal antibody[2B1A1]
DPA1; PLT1; HLADP; HLASB; DP(W3); DP(W4); HLA-DPA; HLA-DP1A; HLA-DPB1
货号 名称 规格 价格 货期 数量
AC2451 HLA-DPA1单克隆抗体[2B1A1] 50ug ¥1250 1周
AC2451 HLA-DPA1单克隆抗体[2B1A1] 100ug ¥2200 1周

HLA-DPA1 belongs to the HLA class II alpha chain paralogues. This class II molecule is a heterodimer consisting of an alpha (DPA) and a beta (DPB) chain, both anchored in the membrane. It plays a central role in the immune system by presenting peptides derived from extracellular proteins. Class II molecules are expressed in antigen presenting cells (APC: B lymphocytes, dendritic cells, macrophages). The alpha chain is approximately 33-35 kDa and its gene contains 5 exons. Exon one encodes the leader peptide, exons 2 and 3 encode the two extracellular domains, exon 4 encodes the transmembrane domain and the cytoplasmic tail. Within the DP molecule both the alpha chain and the beta chain contain the polymorphisms specifying the peptide binding specificities, resulting in up to 4 different molecules.



Aliases:    DPA1; PLT1; HLADP; HLASB; DP(W3); DP(W4); HLA-DPA; HLA-DP1A; HLA-DPB1    

Entrez GeneID:    3113    

Swissprot :   P20036    

WB Predicted band size:    29.3kDa    

Host/Isotype :   Mouse IgG2a    

Species Reactivity:    Human    

Immunogen:    Purified recombinant fragment of human HLA-DPA1 (AA: 29-209) expressed in E. Coli.    

操作说明

WB    1/500 - 1/2000    

IHC    1/200 - 1/1000    

FCM    1/200 - 1/400    

ELISA    1/10000    

参考文献