HLA-C单克隆抗体[3C9E1]

AccuSift
HLA-C Mouse Monoclonal antibody[3C9E1]
MHC; HLAC; HLC-C; D6S204; PSORS1; HLA-JY3
货号 名称 规格 价格 货期 数量
AC2449 HLA-C单克隆抗体[3C9E1] 50ug ¥1250 1周
AC2449 HLA-C单克隆抗体[3C9E1] 100ug ¥2200 1周

HLA-C belongs to the HLA class I heavy chain paralogues. This class I molecule is a heterodimer consisting of a heavy chain and a light chain (beta-2 microglobulin). The heavy chain is anchored in the membrane. Class I molecules play a central role in the immune system by presenting peptides derived from endoplasmic reticulum lumen. They are expressed in nearly all cells. The heavy chain is approximately 45 kDa and its gene contains 8 exons. Exon one encodes the leader peptide, exons 2 and 3 encode the alpha1 and alpha2 domain, which both bind the peptide, exon 4 encodes the alpha3 domain, exon 5 encodes the transmembrane region, and exons 6 and 7 encode the cytoplasmic tail. Polymorphisms within exon 2 and exon 3 are responsible for the peptide binding specificity of each class one molecule. Typing for these polymorphisms is routinely done for bone marrow and kidney transplantation. About 6000 HLA-C alleles have been described. The HLA system plays an important role in the occurrence and outcome of infectious diseases, including those caused by the malaria parasite, the human immunodeficiency virus (HIV), and the severe acute respiratory syndrome coronavirus (SARS-CoV). The structural spike and the nucleocapsid proteins of the novel coronavirus SARS-CoV-2, which causes coronavirus disease 2019 (COVID-19), are reported to contain multiple Class I epitopes with predicted HLA restrictions. Individual HLA genetic variation may help explain different immune responses to a virus across a population.



Aliases:    MHC; HLAC; HLC-C; D6S204; PSORS1; HLA-JY3    

Entrez GeneID:    3107    

Swissprot :   P10321    

WB Predicted band size:    40.6kDa    

Host/Isotype :   Mouse IgG1    

Species Reactivity:    Human, Mouse    

Immunogen :   Purified recombinant fragment of human HLA-C (AA: 25-308) expressed in E. Coli.    

操作说明

WB    1/500 - 1/2000    

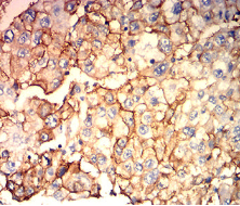
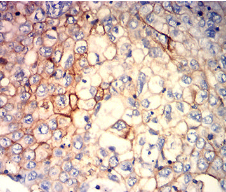
IHC    1/200 - 1/1000    

ELISA    1/10000    

参考文献