HK2单克隆抗体[3D3F1]

AccuSift
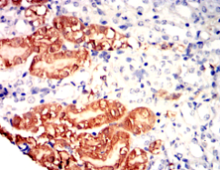
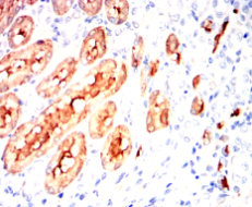
HK2 Mouse Monoclonal antibody[3D3F1]
HKII; HXK2; DKFZp686M1669; HK2
货号 名称 规格 价格 货期 数量
AC2445 HK2单克隆抗体[3D3F1] 50ug ¥1250 1周
AC2445 HK2单克隆抗体[3D3F1] 100ug ¥2200 1周

The hexokinases utilize Mg-ATP as a phosphoryl donor to catalyze the first step of intracellular glucose metabolism, the conversion of glucose to glucose- 6-phosphate. Four hexokinase isoenzymes have been identified, including hexokinase I (HXK I), hexokinase II (HXK II), hexokinase III (HXK III) and hexokinase IV (HXK IV, also designated glucokinase or GCK). Hexokinases I-III each contain an N-terminal cluster of hydrophobic amino acids. Glucokinase lacks the N-terminal hydrophobic cluster. The hydrophobic cluster is thought to be necessary for membrane binding. This is substantiated by the finding that glucokinase has lower affinity for glucose than do the other hexokinases .Hexokinase 2 is the predominant hexokinase isozyme expressed in insulin-responsive tissues such as skeletal muscle. Expression of this gene is insulin-responsive, and studies in rat suggest that it is involved in the increased rate of glycolysis seen in rapidly growing cancer cells.



Aliases:    HKII; HXK2; DKFZp686M1669; HK2    

Entrez GeneID:    3099    

Swissprot:    P52789     

WB Predicted band size :   102kDa    

Host/Isotype :   Mouse IgG1    

Species Reactivity:    Human,Mouse,Rat,Rabbit    

Immunogen :   Purified recombinant fragment of human HK2 expressed in E. Coli.    

操作说明

WB    1/500 - 1/2000    

IHC    1/100 - 1/500    

FCM    1/200 - 1/400    

ELISA    1/10000    

参考文献