HIST2H3C(27Ac)单克隆抗体[6E7A9]

AccuSift
HIST2H3C(27Ac) Mouse Monoclonal antibody[6E7A9]
H3; H3.2; H3/M; H3F2; H3FM; H3FN
货号 名称 规格 价格 货期 数量
AC2438 HIST2H3C(27Ac)单克隆抗体[6E7A9] 50ug ¥1250 1周
AC2438 HIST2H3C(27Ac)单克隆抗体[6E7A9] 100ug ¥2200 1周

Histones are basic nuclear proteins that are responsible for the nucleosome structure of the chromosomal fiber in eukaryotes. This structure consists of approximately 146 bp of DNA wrapped around a nucleosome, an octamer composed of pairs of each of the four core histones (H2A, H2B, H3, and H4). The chromatin fiber is further compacted through the interaction of a linker histone, H1, with the DNA between the nucleosomes to form higher order chromatin structures. This gene is intronless and encodes a member of the histone H3 family. Transcripts from this gene lack polyA tails; instead, they contain a palindromic termination element. This gene is found in a histone cluster on chromosome 1. This gene is one of four histone genes in the cluster that are duplicated; this record represents the telomeric copy.



Aliases :   H3; H3.2; H3/M; H3F2; H3FM; H3FN    

Entrez GeneID:    126961    

Swissprot:    Q71DI3       

WB Predicted band size:    15.4kDa    

Host/Isotype:    Mouse IgG1    

Species Reactivity:    Human    

Immunogen :   Synthesized peptide of human HIST2H3C (AA: ATKAARK(Ac)SAPATGGV).    

操作说明

WB    1/500 - 1/2000    

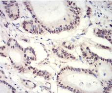
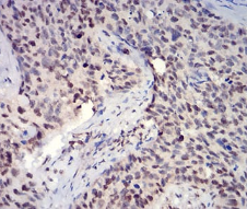
IHC    1/200 - 1/1000    

FCM    1/200 - 1/400    

ELISA    1/10000    

参考文献