HDAC2单克隆抗体[4C10]

AccuSift
HDAC2 Rabbit Monoclonal antibody[4C10]
HD2; RPD3; YAF1
货号 名称 规格 价格 货期 数量
AC2422 HDAC2单克隆抗体[4C10] 50ug ¥1250 1周
AC2422 HDAC2单克隆抗体[4C10] 100ug ¥2200 1周

This gene product belongs to the histone deacetylase family. Histone deacetylases act via the formation of large multiprotein complexes, and are responsible for the deacetylation of lysine residues at the N-terminal regions of core histones (H2A, H2B, H3 and H4). This protein forms transcriptional repressor complexes by associating with many different proteins, including YY1, a mammalian zinc-finger transcription factor. Thus, it plays an important role in transcriptional regulation, cell cycle progression and developmental events. Alternative splicing results in multiple transcript variants. [provided by RefSeq, Apr 2010],



Aliases:    HDAC2;Histone deacetylase 2;HD2    

Entrez GeneID :   3066    

Swissprot:    Q92769    

WB Predicted band size:    55kD    

Host/Isotype:    Rabbit IgG,Kappa    

Species Reactivity:    Human,Mouse,Rat,    

操作说明

WB    1/1000-5000    

IP    1/50-200    

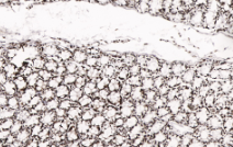
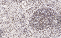
IHC    1/200-500    

IF/ICC    1/200-1000    

ELISA    1/5000-20000    

参考文献