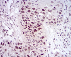
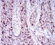
HDAC10单克隆抗体[3B6B8]

AccuSift
HDAC10 Mouse Monoclonal antibody[3B6B8]
HD10
货号 名称 规格 价格 货期 数量
AC2421 HDAC10单克隆抗体[3B6B8] 50ug ¥1250 1周
AC2421 HDAC10单克隆抗体[3B6B8] 100ug ¥2200 1周

The protein encoded by this gene belongs to the histone deacetylase family, members of which deacetylate lysine residues on the N-terminal part of the core histones. Histone deacetylation modulates chromatin structure, and plays an important role in transcriptional regulation, cell cycle progression, and developmental events. Alternatively spliced transcript variants encoding different isoforms have been found for this gene.



Aliases:    HD10    

Entrez GeneID:    83933    

Swissprot:    Q969S8     

WB Predicted band size:    71.4kDa    

Host/Isotype :   Mouse IgG2a    

Species Reactivity:    Human    

Immunogen :   Purified recombinant fragment of human HDAC10 (AA: 18-219) expressed in E. Coli.    

操作说明

IHC    1/200 - 1/1000    

ELISA    1/10000    

参考文献