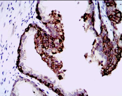
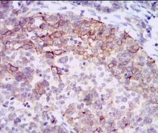
HAS3单克隆抗体[3C9B2]

AccuSift
HAS3 Mouse Monoclonal antibody[3C9B2]
货号 名称 规格 价格 货期 数量
AC2415 HAS3单克隆抗体[3C9B2] 50ug ¥1250 1周
AC2415 HAS3单克隆抗体[3C9B2] 100ug ¥2200 1周

The protein encoded by this gene is involved in the synthesis of the unbranched glycosaminoglycan hyaluronan, or hyaluronic acid, which is a major constituent of the extracellular matrix. This gene is a member of the NODC/HAS gene family. Compared to the proteins encoded by other members of this gene family, this protein appears to be more of a regulator of hyaluronan synthesis. Alternative splicing results in multiple transcript variants.



Entrez GeneID:    3038    

Swissprot:    O00219    

WB Predicted band size:    63kDa    

Host/Isotype :   Mouse IgG1    

Species Reactivity:    Human    

Immunogen :   Purified recombinant fragment of human HAS3 expressed in E. Coli.    

操作说明

IHC    1/200 - 1/1000    

FCM    1/200 - 1/400    

ELISA    1/10000    

参考文献