GZMK单克隆抗体[2F9C1]

AccuSift
GZMK Mouse Monoclonal antibody[2F9C1]
TRYP2
货号 名称 规格 价格 货期 数量
AC2406 GZMK单克隆抗体[2F9C1] 50ug ¥1250 1周
AC2406 GZMK单克隆抗体[2F9C1] 100ug ¥2200 1周

This gene product is a member of a group of related serine proteases from the cytoplasmic granules of cytotoxic lymphocytes. Cytolytic T lymphocytes (CTL) and natural killer (NK) cells share the remarkable ability to recognize, bind, and lyse specific target cells. They are thought to protect their host by lysing cells bearing on their surface 'nonself' antigens, usually peptides or proteins resulting from infection by intracellular pathogens. The protein described here lacks consensus sequences for N-glycosylation present in other granzymes. [provided by RefSeq, Jul 2008]



Aliases:    TRYP2    

Entrez GeneID:    3003    

Swissprot :   P49863      

WB Predicted band size:    29kda    

Host/Isotype:    Mouse IgG2b    

Species Reactivity:    Human    

Immunogen :   Purified recombinant fragment of human GZMK (AA: 27-264) expressed in E. Coli.    

操作说明

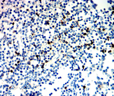
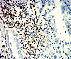
IHC    1/200 - 1/1000    

FCM    1/200 - 1/400    

ELISA    1/10000    

参考文献