GSN单克隆抗体[5E3B9]

AccuSift
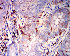
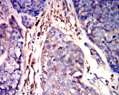
GSN Mouse Monoclonal antibody[5E3B9]
ADF; AGEL
货号 名称 规格 价格 货期 数量
AC2396 GSN单克隆抗体[5E3B9] 50ug ¥1250 1周
AC2396 GSN单克隆抗体[5E3B9] 100ug ¥2200 1周

The protein encoded by this gene binds to the "plus" ends of actin monomers and filaments to prevent monomer exchange. The encoded calcium-regulated protein functions in both assembly and disassembly of actin filaments. Defects in this gene are a cause of familial amyloidosis Finnish type (FAF). Multiple transcript variants encoding several different isoforms have been found for this gene.



Aliases:    ADF; AGEL    

Entrez GeneID:    2934    

Swissprot:    P06396     

WB Predicted band size :   85.7kDa    

Host/Isotype :   Mouse IgG1    

Species Reactivity:    Human    

Immunogen:    Purified recombinant fragment of human GSN (AA: (673-783)) expressed in E. Coli.    

操作说明

IHC    1/200-1/1000    

FCM    1/200-1/400    

ELISA    1/10000    

参考文献