GSK3B单克隆抗体[3D6B4]

AccuSift
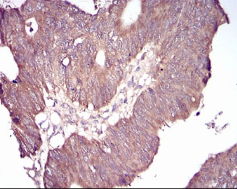
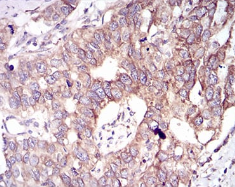
GSK3B Mouse Monoclonal antibody[3D6B4]
货号 名称 规格 价格 货期 数量
AC2395 GSK3B单克隆抗体[3D6B4] 50ug ¥1250 1周
AC2395 GSK3B单克隆抗体[3D6B4] 100ug ¥2200 1周

The protein encoded by this gene is a serine-threonine kinase, belonging to the glycogen synthase kinase subfamily. It is involved in energy metabolism, neuronal cell development, and body pattern formation. Polymorphisms in this gene have been implicated in modifying risk of Parkinson disease, and studies in mice show that overexpression of this gene may be relevant to the pathogenesis of Alzheimer disease. Alternatively spliced transcript variants encoding different isoforms have been found for this gene.



Entrez GeneID:    2932    

Swissprot:    P49841     

WB Predicted band size:    46.7kDa    

Host/Isotype :   Mouse IgG1    

Species Reactivity :   Human,Mouse    

Immunogen:    Purified recombinant fragment of human GSK3B (AA: 2-159) expressed in E. Coli.    

操作说明

IHC    1/200 - 1/1000    

FCM    1/200 - 1/400    

ELISA    1/10000    

参考文献