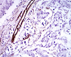
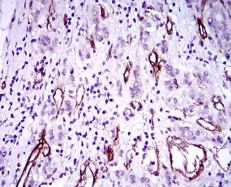
GSC单克隆抗体[4C5D5]

AccuSift
GSC Mouse Monoclonal antibody[4C5D5]
货号 名称 规格 价格 货期 数量
AC2390 GSC单克隆抗体[4C5D5] 50ug ¥1250 1周
AC2390 GSC单克隆抗体[4C5D5] 100ug ¥2200 1周

This gene encodes a member of the bicoid subfamily of the paired (PRD) homeobox family of proteins. The encoded protein acts as a transcription factor and may be autoregulatory. A similar protein in mice plays a role in craniofacial and rib cage development during embryogenesis.



Aliases:    GSC    

Entrez GeneID:    145258    

Swissprot:    P56915    

WB Predicted band size:    28.2kDa    

Host/Isotype :   Mouse IgG1    

Species Reactivity:    Human    

Immunogen:    Purified recombinant fragment of human GSC (AA: 191-257) expressed in E. Coli.    

操作说明

IHC    1/200 - 1/1000    

FCM    1/200 - 1/400    

ELISA    1/10000    

参考文献