GPNMB单克隆抗体[7CE5]

AccuSift
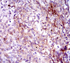
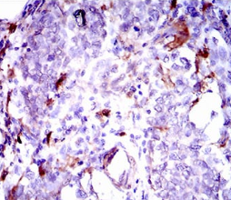
GPNMB Mouse Monoclonal antibody[7CE5]
NMB; HGFIN
货号 名称 规格 价格 货期 数量
AC2357 GPNMB单克隆抗体[7CE5] 50ug ¥1250 1周
AC2357 GPNMB单克隆抗体[7CE5] 100ug ¥2200 1周

The protein encoded by this gene is a type I transmembrane glycoprotein which shows homology to the pMEL17 precursor, a melanocyte-specific protein. GPNMB shows expression in the lowly metastatic human melanoma cell lines and xenografts but does not show expression in the highly metastatic cell lines. GPNMB may be involved in growth delay and reduction of metastatic potential. Two transcript variants encoding different isoforms have been found for this gene.



Aliases:   NMB; HGFIN    

Entrez GeneID:    10457    

Swissprot:    Q14956     

WB Predicted band size:   64kDa    

Host/Isotype:    Mouse IgG1    

Species Reactivity :   Human    

Immunogen :   Purified recombinant fragment of human GPNMB (AA: 31-260) expressed in E. Coli.    

操作说明

WB    1/500 - 1/2000    

IHC    1/200 - 1/1000    

ELISA    1/10000    

参考文献