GMNN单克隆抗体[2H10G]

AccuSift
GMNN Mouse Monoclonal antibody[2H10G]
Gem; MGORS6
货号 名称 规格 价格 货期 数量
AC2343 GMNN单克隆抗体[2H10G] 50ug ¥1250 1周
AC2343 GMNN单克隆抗体[2H10G] 100ug ¥2200 1周

This gene encodes a protein that plays a critical role in cell cycle regulation. The encoded protein inhibits DNA replication by binding to DNA replication factor Cdt1, preventing the incorporation of minichromosome maintenance proteins into the pre-replication complex. The encoded protein is expressed during the S and G2 phases of the cell cycle and is degraded by the anaphase-promoting complex during the metaphase-anaphase transition. Increased expression of this gene may play a role in several malignancies including colon, rectal and breast cancer. Alternatively spliced transcript variants have been observed for this gene, and two pseudogenes of this gene are located on the short arm of chromosome 16.



Aliases:    Gem; MGORS6    

Entrez GeneID:    51053    

Swissprot :   O75496     

WB Predicted band size :   23.6KDa    

Host/Isotype:    Mouse IgG1    

Species Reactivity :   Human, Rat    

Immunogen:    Purified recombinant fragment of human GMNN (AA: FULL 1-209) expressed in E. Coli.    

操作说明

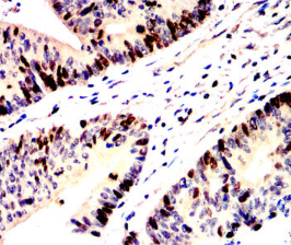
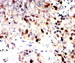
IHC    1/200 - 1/1000    

FCM    1/200 - 1/400    

ELISA    1/10000    

参考文献