GLUL单克隆抗体[5A3B4]

AccuSift
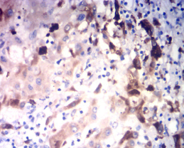
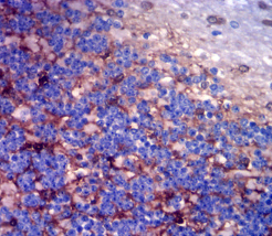
GLUL Mouse Monoclonal antibody[5A3B4]
GS; GLNS; PIG43; PIG59
货号 名称 规格 价格 货期 数量
AC2341 GLUL单克隆抗体[5A3B4] 50ug ¥1250 1周
AC2341 GLUL单克隆抗体[5A3B4] 100ug ¥2200 1周

The protein encoded by this gene belongs to the glutamine synthetase family. It catalyzes the synthesis of glutamine from glutamate and ammonia in an ATP-dependent reaction. This protein plays a role in ammonia and glutamate detoxification, acid-base homeostasis, cell signaling, and cell proliferation. Glutamine is an abundant amino acid, and is important to the biosynthesis of several amino acids, pyrimidines, and purines. Mutations in this gene are associated with congenital glutamine deficiency, and overexpression of this gene was observed in some primary liver cancer samples. There are six pseudogenes of this gene found on chromosomes 2, 5, 9, 11, and 12. Alternative splicing results in multiple transcript variants.



Aliases :   GS; GLNS; PIG43; PIG59    

Entrez GeneID :   2752    

Swissprot:    P15104    

WB Predicted band size:   42kDa    

Host/Isotype :   Mouse IgG1    

Species Reactivity :   Human, Mouse    

Immunogen:    Purified recombinant fragment of human GLUL (AA: 2-121) expressed in E. Coli.    

操作说明

WB    1/500 - 1/2000    

IHC    1/200-1/1000    

FCM    1/200-1/400    

ELISA    1/10000    

参考文献