GPI单克隆抗体[1B7D7]

AccuSift
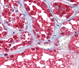
GPI Mouse Monoclonal antibody[1B7D7]
AMF; NLK; PGI; PHI; GNPI; SA-36; GPI
货号 名称 规格 价格 货期 数量
AC2339 GPI单克隆抗体[1B7D7] 50ug ¥1250 1周
AC2339 GPI单克隆抗体[1B7D7] 100ug ¥2200 1周

Glucose-6-phosphate isomerase, or phosphoglucose isomerase, also known as GPI. It belongs to the GPI family whose members encode multifunctional phosphoglucose isomerase proteins involved in energy pathways and it is an enzyme that catalyzes the conversion of glucose-6-phosphate into fructose 6-phosphate in the second step of glycolysis. The protein functions in different capacities inside and outside the cell. In the cytoplasm, the gene product is involved in glycolysis and gluconeogenesis, while outside the cell it functions as a neurotrophic factor for spinal and sensory neurons. Defects in GPI are the cause of nonspherocytic hemolytic anemia and a severe enzyme deficiency can be associated with hydrops fetalis, immediate neonatal death and neurological impairment.

  


Aliases :   AMF; NLK; PGI; PHI; GNPI; SA-36; GPI    

Entrez GeneID :   2821    

Swissprot :   P06744    

WB Predicted band size:    63kDa    

Host/Isotype :   Mouse IgG1    

Species Reactivity:    Human    

Immunogen :   Purified recombinant fragment of human GPI expressed in E. Coli.    

操作说明

WB    1/500 - 1/2000    

IHC    1/200 - 1/1000    

IF/ICC    1/200 - 1/1000    

ELISA    1/10000    

参考文献