GKAP单克隆抗体[3G4A3]

AccuSift
GKAP Mouse Monoclonal antibody[3G4A3]
GKAP; DLGAP1; DAP-1; hGKAP; SAPAP1; FLJ38442; MGC88156; DAP-1-BETA; DAP-1-ALPHA
货号 名称 规格 价格 货期 数量
AC2334 GKAP单克隆抗体[3G4A3] 50ug ¥1250 1周
AC2334 GKAP单克隆抗体[3G4A3] 100ug ¥2200 1周

Function: Part of the postsynaptic scaffold in neuronal cells.Tissue specificity: Expressed in brain.



Aliases:    GKAP; DLGAP1; DAP-1; hGKAP; SAPAP1; FLJ38442; MGC88156; DAP-1-BETA; DAP-1-ALPHA    

Entrez GeneID :   9229    

Swissprot:    O14490    

WB Predicted band size :   109kDa    

Host/Isotype :   Mouse IgG1    

Species Reactivity :   Human    

Immunogen:    Purified recombinant fragment of human GKAP expressed in E. Coli.    

操作说明

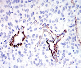
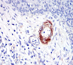
IHC    1/200 - 1/1000    

IF/ICC    1/200 - 1/1000    

ELISA    1/10000    

参考文献