GATA3单克隆抗体[5H7C7]

AccuSift
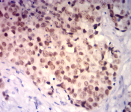
GATA3 Mouse Monoclonal antibody[5H7C7]
HDR; HDRS
货号 名称 规格 价格 货期 数量
AC2320 GATA3单克隆抗体[5H7C7] 50ug ¥1250 1周
AC2320 GATA3单克隆抗体[5H7C7] 100ug ¥2200 1周

This gene encodes a protein which belongs to the GATA family of transcription factors. The protein contains two GATA-type zinc fingers and is an important regulator of T-cell development and plays an important role in endothelial cell biology. Defects in this gene are the cause of hypoparathyroidism with sensorineural deafness and renal dysplasia.



Aliases:    HDR; HDRS    

Entrez GeneID:    2625    

Swissprot :   P23771      

WB Predicted band size :   48kDa    

Host/Isotype:    Mouse IgG1    

Species Reactivity :   Human    

Immunogen:    Purified recombinant fragment of human GATA3 (AA: (294-443)) expressed in E. Coli.    

操作说明

WB    1/500 - 1/2000    

IHC    1/200-1/1000    

FCM    1/200-1/400    

ELISA    1/10000    

参考文献