GATA1单克隆抗体[4F5G8]

AccuSift
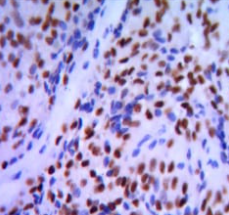
GATA1 Mouse Monoclonal antibody[4F5G8]
GF1; GF-1; NFE1; XLTT; ERYF1; GATA-1; GATA1
货号 名称 规格 价格 货期 数量
AC2315 GATA1单克隆抗体[4F5G8] 50ug ¥1250 1周
AC2315 GATA1单克隆抗体[4F5G8] 100ug ¥2200 1周

erythroid specific transcription factor,GATA sequence binding protein (same as EryF1,NF-E1,EF-1,EF gamma-a,GF1),expressed in RBC,mast cell,megakaryocyte,hematopoietic progenitor cell,testis,associated with a special class of nuclear bodies,activated by erythropoietin,inactivated by coactivation of DEATH receptors (TNFRSF6) mediated caspase cleavage Tissue specificity: Erythrocytes



Aliases:    GF1; GF-1; NFE1; XLTT; ERYF1; GATA-1; GATA1    

Entrez GeneID :   2623    

Swissprot :   P15976      

WB Predicted band size:    42.7kDa    

Host/Isotype :   Mouse IgG2b    

Species Reactivity:    Human    

Immunogen :   Purified recombinant fragment of human GATA1 expressed in E. Coli.    

操作说明

WB    1/500 - 1/2000    

IHC    1/200 - 1/1000    

IF/ICC    1/200 - 1/1000    

ELISA    1/10000    

参考文献