G6PD单克隆抗体[2H72]

AccuSift
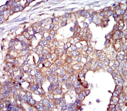
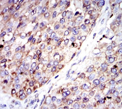
G6PD Mouse Monoclonal antibody[2H72]
G6PD1
货号 名称 规格 价格 货期 数量
AC2304 G6PD单克隆抗体[2H72] 50ug ¥1250 1周
AC2304 G6PD单克隆抗体[2H72] 100ug ¥2200 1周

This gene encodes glucose-6-phosphate dehydrogenase. This protein is a cytosolic enzyme encoded by a housekeeping X-linked gene whose main function is to produce NADPH, a key electron donor in the defense against oxidizing agents and in reductive biosynthetic reactions. G6PD is remarkable for its genetic diversity. Many variants of G6PD, mostly produced from missense mutations, have been described with wide ranging levels of enzyme activity and associated clinical symptoms. G6PD deficiency may cause neonatal jaundice, acute hemolysis, or severe chronic non-spherocytic hemolytic anemia. Two transcript variants encoding different isoforms have been found for this gene.



Aliases:    G6PD1    

Entrez GeneID:    2539    

Swissprot:    P11413    

WB Predicted band size :   59kDa    

Host/Isotype:    Mouse IgG1    

Species Reactivity:    Human    

Immunogen:    Purified recombinant fragment of human G6PD expressed in E. Coli.    

操作说明

WB    1/500 - 1/2000    

IHC    1/200 - 1/1000    

FCM    1/200 - 1/400    

ELISA    1/10000    

参考文献