FPR3单克隆抗体[7D9B4]

AccuSift
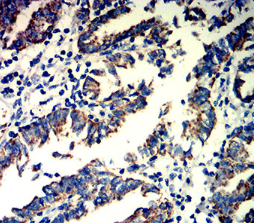
FPR3 Mouse Monoclonal antibody[7D9B4]
FMLPY; FPRH1; FPRH2; FPRL2; RMLP-R-I; FMLP-R-II; FML2_HUMAN
货号 名称 规格 价格 货期 数量
AC2289 FPR3单克隆抗体[7D9B4] 50ug ¥1250 1周
AC2289 FPR3单克隆抗体[7D9B4] 100ug ¥2200 1周

FPR3 (Formyl Peptide Receptor 3) is a Protein Coding gene. Diseases associated with FPR3 include Rubeosis Iridis. Among its related pathways are Signaling by GPCR and Peptide ligand-binding receptors. Gene Ontology (GO) annotations related to this gene include G protein-coupled receptor activity and N-formyl peptide receptor activity. An important paralog of this gene is FPR2.



Aliases :   FMLPY; FPRH1; FPRH2; FPRL2; RMLP-R-I; FMLP-R-II; FML2_HUMAN    

Entrez GeneID:    2359    

Swissprot:    P25089    

WB Predicted band size :   39.9kDa    

Host/Isotype :   Mouse IgG1    

Species Reactivity:    Human    

Immunogen :   Purified recombinant fragment of human FPR3 expressed in E. Coli.    

操作说明

IHC    1/200 - 1/1000    

FCM    1/200 - 1/400    

ELISA    1/10000    

参考文献