FOXP3单克隆抗体[4F12A]

AccuSift
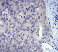
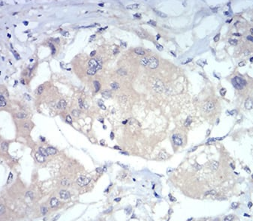
FOXP3 Mouse Monoclonal antibody[4F12A]
JM2; AIID; IPEX; PIDX; XPID; DIETER
货号 名称 规格 价格 货期 数量
AC2288 FOXP3单克隆抗体[4F12A] 50ug ¥1250 1周
AC2288 FOXP3单克隆抗体[4F12A] 100ug ¥2200 1周

The protein encoded by this gene is a member of the forkhead/winged-helix family of transcriptional regulators. Defects in this gene are the cause of immunodeficiency polyendocrinopathy, enteropathy, X-linked syndrome (IPEX), also known as X-linked autoimmunity-immunodeficiency syndrome. Alternatively spliced transcript variants encoding different isoforms have been identified.



Aliases:    JM2; AIID; IPEX; PIDX; XPID; DIETER    

Entrez GeneID:    50943    

Swissprot:    Q9BZS1    

WB Predicted band size :   47.3kDa    

Host/Isotype :   Mouse IgG1    

Species Reactivity :   Human,Mouse,Rabbit    

Immunogen:    Purified recombinant fragment of human FOXP3 (AA: 297-431) expressed in E. Coli.    

操作说明

WB    1/500 - 1/2000    

IHC    1/100 - 1/500    

FCM    1/200 - 1/400    

ELISA    1/10000    

参考文献