FGL1单克隆抗体[4F9C1]

AccuSift
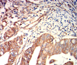
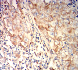
FGL1 Mouse Monoclonal antibody[4F9C1]
HPS; HFREP1; HP-041; LFIRE1; LFIRE-1
货号 名称 规格 价格 货期 数量
AC2255 FGL1单克隆抗体[4F9C1] 50ug ¥1250 1周
AC2255 FGL1单克隆抗体[4F9C1] 100ug ¥2200 1周

Fibrinogen-like 1 is a member of the fibrinogen family. This protein is homologous to the carboxy terminus of the fibrinogen beta- and gamma- subunits which contains the four conserved cysteines of fibrinogens and fibrinogen related proteins. However, this protein lacks the platelet-binding site, cross-linking region and a thrombin-sensitive site which are necessary for fibrin clot formation. This protein may play a role in the development of hepatocellular carcinomas. Four alternatively spliced transcript variants encoding the same protein exist for this gene. [provided by RefSeq, Jul 2008]



Aliases :   HPS; HFREP1; HP-041; LFIRE1; LFIRE-1    

Entrez GeneID:    2267    

Swissprot:    Q08830    

WB Predicted band size  :  36.4kDa    

Host/Isotype :   Mouse IgG2a    

Species Reactivity:    Human    

Immunogen:    Purified recombinant fragment of human FGL1 (AA: 23-312) expressed in E. Coli.    

操作说明

IHC    1/200-1/1000    

IF/ICC    1/200 - 1/1000    

FCM    1/200-1/400    

ELISA    1/10000    

参考文献