FGFR3单克隆抗体[2H105]

AccuSift
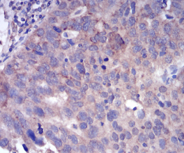
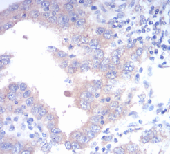
FGFR3 Mouse Monoclonal antibody[2H105]
ACH; CEK2; JTK4; CD333; HSFGFR3EX
货号 名称 规格 价格 货期 数量
AC2250 FGFR3单克隆抗体[2H105] 50ug ¥1250 1周
AC2250 FGFR3单克隆抗体[2H105] 100ug ¥2200 1周

This gene encodes a member of the fibroblast growth factor receptor (FGFR) family, with its amino acid sequence being highly conserved between members and among divergent species. FGFR family members differ from one another in their ligand affinities and tissue distribution. A full-length representative protein would consist of an extracellular region, composed of three immunoglobulin-like domains, a single hydrophobic membrane-spanning segment and a cytoplasmic tyrosine kinase domain. The extracellular portion of the protein interacts with fibroblast growth factors, setting in motion a cascade of downstream signals, ultimately influencing mitogenesis and differentiation. This particular family member binds acidic and basic fibroblast growth hormone and plays a role in bone development and maintenance. Mutations in this gene lead to craniosynostosis and multiple types of skeletal dysplasia. Three alternatively spliced transcript variants that encode different protein isoforms have been described. [provided by RefSeq, Jul 2009]



Aliases:    ACH; CEK2; JTK4; CD333; HSFGFR3EX    

Entrez GeneID:    2261    

Swissprot:    P22607     

WB Predicted band size :   87.7kDa    

Host/Isotype:    Mouse IgG1    

Species Reactivity:   Human    

Immunogen :   Purified recombinant fragment of human FGFR3 (AA: 529-694) expressed in E. Coli.    

操作说明

IHC    1/200 - 1/1000    

FCM    1/200 - 1/400    

ELISA    1/10000    

参考文献