FCER1A单克隆抗体[1F2A9]

AccuSift
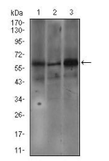
FCER1A Mouse Monoclonal antibody[1F2A9]
FCE1A; FcERI
货号 名称 规格 价格 货期 数量
AC2233 FCER1A单克隆抗体[1F2A9] 50ug ¥1250 1周
AC2233 FCER1A单克隆抗体[1F2A9] 100ug ¥2200 1周

The immunoglobulin epsilon receptor (IgE receptor) is the initiator of the allergic response. When two or more high-affinity IgE receptors are brought together by allergen-bound IgE molecules, mediators such as histamine that are responsible for allergy symptoms are released. This receptor is comprised of an alpha subunit, a beta subunit, and two gamma subunits. The protein encoded by this gene represents the alpha subunit.



Aliases:    FCE1A; FcERI    

Entrez GeneID :   2205    

Swissprot:    P12319     

WB Predicted band size:    29.6kDa    

Host/Isotype :   Mouse IgG1    

Species Reactivity:    Human    

Immunogen:    Purified recombinant fragment of human FCER1A (AA: 42-103) expressed in E. Coli.    

操作说明

WB    1/500 - 1/2000    

FCM    1/200 - 1/400    

ELISA    1/10000    

参考文献