FBLN5单克隆抗体[1G6A4]

AccuSift
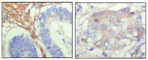
FBLN5 Mouse Monoclonal antibody[1G6A4]
货号 名称 规格 价格 货期 数量
AC2230 FBLN5单克隆抗体[1G6A4] 50ug ¥1250 1周
AC2230 FBLN5单克隆抗体[1G6A4] 100ug ¥2200 1周

FBLN5: fibulin 5. The protein is a secreted, extracellular matrix protein containing an Arg-Gly-Asp (RGD) motif and calcium-binding EGF-like domains. It promotes adhesion of endothelial cells through interaction of integrins and the RGD motif. It is prominently expressed in developing arteries but less so in adult vessels. However, its expression is reinduced in balloon-injured vessels and atherosclerotic lesions, notably in intimal vascular smooth muscle cells and endothelial cells. Therefore, the protein encoded by this gene may play a role in vascular development and remodeling.



Aliases:    EVEC; UP50; ARMD3; DANCE    

Entrez GeneID:    10516    

Swissprot:    Q9UBX5    

Host/Isotype:    Mouse IgG1    

Species Reactivity:    Human    

Immunogen:    Purified recombinant fragment of FBLN5 (aa242-448) expressed in E. Coli.    

操作说明

IHC    1/200 - 1/1000    

ELISA    1/10000    

参考文献