FABP4单克隆抗体[9B8D1]

AccuSift
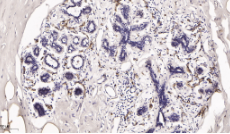
FABP4 Rabbit Monoclonal antibody[9B8D1]
aP2; A-FABP; FABP4
货号 名称 规格 价格 货期 数量
AC2219 FABP4单克隆抗体[9B8D1] 50ug ¥1250 1周
AC2219 FABP4单克隆抗体[9B8D1] 100ug ¥2200 1周

FABP4 encodes the fatty acid binding protein found in adipocytes. Fatty acid binding proteins are a family of small, highly conserved, cytoplasmic proteins that bind long-chain fatty acids and other hydrophobic ligands. It is thought that FABPs roles include fatty acid uptake, transport, and metabolism. [provided by RefSeq, Jul 2008],



Aliases :   Fatty acid-binding protein, adipocyte;Adipocyte lipid-binding protein;ALBP;Adipocyte-type fatty acid-binding protein;A-FABP;AFABP;Fatty acid-binding protein 4;    

Entrez GeneID :   2167    

Swissprot:    P15090    

WB Predicted band size :   15kD    

Host/Isotype:    Rabbit IgG,Kappa    

Species Reactivity :   Human,Mouse,Rat,    

操作说明

WB    1/1000-5000    

IP    1/50-200    

IHC    1/200-1000    

IF/ICC    1/200-1000    

ELISA    1/5000-20000    

参考文献