EZR单克隆抗体[6F1A9]

AccuSift
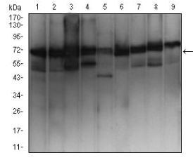
EZR Mouse Monoclonal antibody[6F1A9]
CVL; CVIL; VIL2; HEL-S-105
货号 名称 规格 价格 货期 数量
AC2212 EZR单克隆抗体[6F1A9] 50ug ¥1250 1周
AC2212 EZR单克隆抗体[6F1A9] 100ug ¥2200 1周

The cytoplasmic peripheral membrane protein encoded by this gene functions as a protein-tyrosine kinase substrate in microvilli. As a member of the ERM protein family, this protein serves as an intermediate between the plasma membrane and the actin cytoskeleton. This protein plays a key role in cell surface structure adhesion, migration and organization, and it has been implicated in various human cancers. A pseudogene located on chromosome 3 has been identified for this gene. Alternatively spliced variants have also been described for this gene.



Aliases:    CVL; CVIL; VIL2; HEL-S-105    

Entrez GeneID:    7430    

Swissprot :   P15311    

WB Predicted band size:    69.4kDa    

Host/Isotype:    Mouse IgG1    

Species Reactivity :   Human,Mouse,Monkey    

Immunogen:    Purified recombinant fragment of human EZR (AA: 292-464) expressed in E. Coli.    

操作说明

WB    1/500 - 1/2000    

IF/ICC    1/100 - 1/400    

FCM    1/200 - 1/400    

ELISA    1/10000    

参考文献