ETFA单克隆抗体[2F8A5]

AccuSift
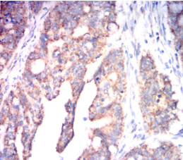
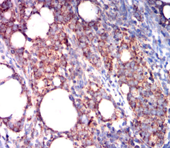
ETFA Mouse Monoclonal antibody[2F8A5]
EMA; GA2; MADD
货号 名称 规格 价格 货期 数量
AC2202 ETFA单克隆抗体[2F8A5] 50ug ¥1250 1周
AC2202 ETFA单克隆抗体[2F8A5] 100ug ¥2200 1周

ETFA participates in catalyzing the initial step of the mitochondrial fatty acid beta-oxidation. It shuttles electrons between primary flavoprotein dehydrogenases and the membrane-bound electron transfer flavoprotein ubiquinone oxidoreductase. Defects in electron-transfer-flavoprotein have been implicated in type II glutaricaciduria in which multiple acyl-CoA dehydrogenase deficiencies result in large excretion of glutaric, lactic, ethylmalonic, butyric, isobutyric, 2-methyl-butyric, and isovaleric acids. Two transcript variants encoding different isoforms have been found for this gene. [provided by RefSeq, Jul 2008]



Aliases :   EMA; GA2; MADD    

Entrez GeneID:    2108    

Swissprot :   P13804    

WB Predicted band size:    35kDa    

Host/Isotype:    Mouse IgG2a    

Species Reactivity :   Human    

Immunogen:    Purified recombinant fragment of human ETFA (AA: 134-333) expressed in E. Coli.    

操作说明

WB    1/500 - 1/2000    

IHC    1/200 - 1/1000    

IF/ICC    1/200 - 1/1000    

FCM    1/200 - 1/400    

ELISA    1/10000    

参考文献