ESR1单克隆抗体[6A6E8]

AccuSift
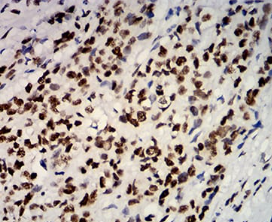
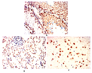
ESR1 Mouse Monoclonal antibody[6A6E8]
ER; ESR; Era; ESRA; ESTRR; NR3A1
货号 名称 规格 价格 货期 数量
AC2196 ESR1单克隆抗体[6A6E8] 50ug ¥1250 1周
AC2196 ESR1单克隆抗体[6A6E8] 100ug ¥2200 1周

This gene encodes an estrogen receptor, a ligand-activated transcription factor composed of several domains important for hormone binding, DNA binding, and activation of transcription. The protein localizes to the nucleus where it may form a homodimer or a heterodimer with estrogen receptor 2. Estrogen and its receptors are essential for sexual development and reproductive function, but also play a role in other tissues such as bone. Estrogen receptors are also involved in pathological processes including breast cancer, endometrial cancer, and osteoporosis. Alternative promoter usage and alternative splicing result in dozens of transcript variants, but the full-length nature of many of these variants has not been determined.



Aliases:    ER; ESR; Era; ESRA; ESTRR; NR3A1    

Entrez GeneID:    2099    

Swissprot :   P03372    

WB Predicted band size:   66.2kDa    

Host/Isotype :   Mouse IgG1    

Species Reactivity:    Human,Mouse,Rat,Rabbit    

Immunogen :   Purified recombinant fragment of human ESR1 (AA: 2-185) expressed in E. Coli.    

操作说明

WB    1/500 - 1/2000    

IHC    1/100 - 1/500    

IF/ICC    1/50 - 1/500    

FCM    1/200 - 1/400    

ELISA    1/10000    

参考文献