ER-alpha单克隆抗体[2B7E3]

AccuSift
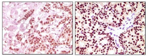
ER-alpha Mouse Monoclonal antibody[2B7E3]
货号 名称 规格 价格 货期 数量
AC2176 ER-alpha单克隆抗体[2B7E3] 50ug ¥1250 1周
AC2176 ER-alpha单克隆抗体[2B7E3] 100ug ¥2200 1周

The estrogen receptor (ER) is a ligand-activated transcription factor composed of several domains important for hormone binding, DNA binding, and activation of transcription. Alternative splicing results in several ER mRNA transcripts, which differ primarily in their 5-prime untranslated regions. Two isoforms of the human ER, ERA and ER-beta, occur, each with distinct tissue and cell patterns of expression. Pelletier and El-Alfy (2000) studied the immunocytochemical localization of ESRA and ESRB in human reproductive tissues. In the ovary, ERB immunoreactivity was found in nuclei of granulosa cells of growing follicles at all stages from primary to mature follicles, interstitial gland, and germinal epithelium cells. Nuclear staining for ERA occurred in thecal, interstitial gland, and germinal epithelium cells. In the uterus, strong ERA immunoreactivity was detected in nuclei of epithelial, stromal, and muscle cells.



Aliases:    ER; ESR1; Era; ESRA    

Entrez GeneID :   2099    

Swissprot:   P03372      

Host/Isotype:    Mouse IgG1    

Species Reactivity:    Human    

Immunogen:    Purified recombinant fragment of human ER-alpha (410-592aa) expressed in E. Coli.    

操作说明

WB    1/500 - 1/2000    

IHC    1/200 - 1/1000    

ELISA    1/10000    

参考文献