EphA2单克隆抗体[1B3C7]

AccuSift
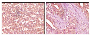
EphA2 Mouse Monoclonal antibody[1B3C7]
ECK; EPHA2
货号 名称 规格 价格 货期 数量
AC2158 EphA2单克隆抗体[1B3C7] 50ug ¥1250 1周
AC2158 EphA2单克隆抗体[1B3C7] 100ug ¥2200 1周

EPH receptor A2 (EphA2), with 976-amino acid protein (about 107 kDa), belongs to the ephrin receptor subfamily of the protein-tyrosine kinase family. EphA1, EphA2, EphA3, EphA4, EphA5, EphA6, EphA7, EphA8, EphA10, EphB1, EphB2, EphB3, EphB4 and EphB6 are Eph family receptors for Ephrin family ligands. In normal cells, EphA2 negatively regulates cell growth and invasiveness. EphA2 is overexpressed by many human cancers, and is often associated with poor prognostic features. The clinical significance of the expression of EphA2 was observed in breast, prostate, colon, skin, cervical, ovarian, and lung cancers.EphA2 may serve as a novel target for bladder cancer, colonic adenocarcinoma and ovarian cancer therapy.



Aliases:    ECK; EPHA2    

Entrez GeneID:    1969    

Swissprot:    P29317    

Host/Isotype:    Mouse IgM    

Species Reactivity:    Human    

Immunogen:    Purified recombinant fragment of EphA2 expressed in E. Coli.    

操作说明

WB    1/500 - 1/2000    

IHC    1/200 - 1/1000    

ELISA    1/10000    

参考文献