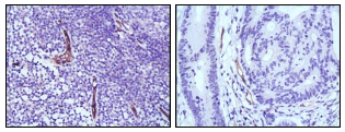
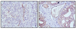
eNOS单克隆抗体[6H2B3]

AccuSift
eNOS Mouse Monoclonal antibody[6H2B3]
eNOS; ECNOS; NOS3
货号 名称 规格 价格 货期 数量
AC2149 eNOS单克隆抗体[6H2B3] 50ug ¥1250 1周
AC2149 eNOS单克隆抗体[6H2B3] 100ug ¥2200 1周

Endothelial nitric-oxide synthase (eNOS), also known as NOS3, it is an important enzyme in the cardiovascular system. It is a reactive free radical which acts as a biologic mediator in several processes, including neurotransmission and antimicrobial and antitumoral activities. Nitric oxide is synthesized from L-arginine by nitric oxide synthases. Variations in this gene are associated with susceptibility to coronary spasm.



Aliases:    ECNOS; NOS3    

Entrez GeneID:    4846    

Swissprot:    P29474    

WB Predicted band size:    133kDa    

Host/Isotype:    Mouse IgG1    

Species Reactivity:    Human    

Immunogen:    Purified recombinant fragment of human eNOS expressed in E. Coli.    

操作说明

IHC    1/200 - 1/1000    

ELISA    1/10000    

参考文献