EIF4E单克隆抗体[5D11B]

AccuSift
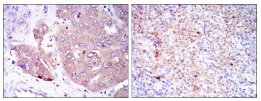
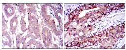
EIF4E Mouse Monoclonal antibody[5D11B]
CBP; EIF4F; EIF4E1; EIF4EL1; MGC111573; EIF4E
货号 名称 规格 价格 货期 数量
AC2137 EIF4E单克隆抗体[5D11B] 50ug ¥1250 1周
AC2137 EIF4E单克隆抗体[5D11B] 100ug ¥2200 1周

eIF4E, a protein modulates translation of maternal mRNAs in early embryos before the onset of zygotic transcription. eIF4E also influences the overall rate of translation. eIF4E binds to the 7 methyl GTP cap structure of eukaryotic mRNAs. Phosphorylation of eIF4E on serine 209 regulates the affinity of this protein for the 7 methyl GTP cap and/or RNA. Phosphorylation also enhances the interaction of eIF4E with eIF4G, which form a complex known as eIF4F. eIF4E phosphorylation is correlated with increased translational rate in a number of cell types. Several kinases are currently being investigated as potential regulators of eIF4E including PKC and/or the MAP kinase activated Mnk.



Aliases:    CBP; EIF4F; EIF4E1; EIF4EL1; MGC111573; EIF4E    

Entrez GeneID:    1977    

Swissprot :   P06730     

WB Predicted band size:    25kDa    

Host/Isotype :   Mouse IgG1    

Species Reactivity:    Human    

Immunogen :   Purified recombinant fragment of human EIF4E expressed in E. Coli.    

操作说明

WB    1/500 - 1/2000    

IHC    1/200 - 1/1000    

IF/ICC    1/200 - 1/1000    

FCM    1/200 - 1/400    

ELISA    1/10000    

参考文献