EEF2单克隆抗体[5B6H1]

AccuSift
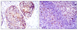
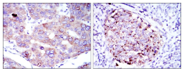
EEF2 Mouse Monoclonal antibody[5B6H1]
EF2; EEF-2; EEF2
货号 名称 规格 价格 货期 数量
AC2119 EEF2单克隆抗体[5B6H1] 50ug ¥1250 1周
AC2119 EEF2单克隆抗体[5B6H1] 100ug ¥2200 1周

This gene encodes a member of the GTP-binding translation elongation factor family. This protein is an essential factor for protein synthesis. It promotes the GTP-dependent translocation of the nascent protein chain from the A-site to the P-site of the ribosome. This protein is completely inactivated by EF-2 kinase phosporylation. (provided by RefSeq)



Aliases:    EF2; EEF-2; EEF2    

Entrez GeneID:    1938    

Swissprot:    P13639    

WB Predicted band size:    95kDa    

Host/Isotype:    Mouse IgG1    

Species Reactivity:    Human    

Immunogen :   Purified recombinant fragment of human EEF2 expressed in E. Coli.    

操作说明

WB    1/500 - 1/2000    

IHC    1/200 - 1/1000    

IF/ICC    1/200 - 1/1000    

ELISA    1/10000    

参考文献