E2F1 单克隆抗体[8G9B2]

AccuSift
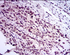
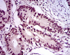
E2F1 Mouse Monoclonal antibody[8G9B2]
RBP3; E2F-1; RBAP1; RBBP3
货号 名称 规格 价格 货期 数量
AC2114 E2F1 单克隆抗体[8G9B2] 50ug ¥1250 1周
AC2114 E2F1 单克隆抗体[8G9B2] 100ug ¥2200 1周

The protein encoded by this gene is a member of the E2F family of transcription factors. The E2F family plays a crucial role in the control of cell cycle and action of tumor suppressor proteins and is also a target of the transforming proteins of small DNA tumor viruses. The E2F proteins contain several evolutionally conserved domains found in most members of the family. These domains include a DNA binding domain, a dimerization domain which determines interaction with the differentiation regulated transcription factor proteins (DP), a transactivation domain enriched in acidic amino acids, and a tumor suppressor protein association domain which is embedded within the transactivation domain. This protein and another 2 members, E2F2 and E2F3, have an additional cyclin binding domain. This protein binds preferentially to retinoblastoma protein pRB in a cell-cycle dependent manner. It can mediate both cell proliferation and p53-dependent/independent apoptosis.



Aliases:    RBP3; E2F-1; RBAP1; RBBP3    

Entrez GeneID :   1869    

Swissprot:    Q01094       

WB Predicted band size :   46.9kDa    

Host/Isotype:    Mouse IgG1    

Species Reactivity :   Human,Mouse    

Immunogen:    Purified recombinant fragment of human E2F1 (AA: 69-223) expressed in E. Coli.    

操作说明

WB    1/500 - 1/2000    

IHC    1/200 - 1/1000    

FCM    1/200 - 1/400    

ELISA    1/10000    

参考文献