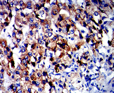
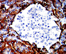
DYRK4单克隆抗体[1A5C]

AccuSift
DYRK4 Mouse Monoclonal antibody[1A5C]
货号 名称 规格 价格 货期 数量
AC2112 DYRK4单克隆抗体[1A5C] 50ug ¥1250 1周
AC2112 DYRK4单克隆抗体[1A5C] 100ug ¥2200 1周

This gene encodes an enzyme that belongs to a conserved family of serine/threonine protein kinases. Members of this dual specificity kinase family are thought to function in the regulation of cell differentiation and proliferation, survival, and in development. Alternate splicing results in multiple transcript variants. Additional alternatively spliced transcript variants of this gene have been described, but their full-length nature is not known.



Entrez GeneID:    8798    

Swissprot :   Q9NR20      

WB Predicted band size :   59.6kDa    

Host/Isotype:    Mouse IgG1    

Species Reactivity:    Human    

Immunogen:    Purified recombinant fragment of human DYRK4 (AA: 303-515) expressed in E. Coli.    

操作说明

IHC    1/200 - 1/1000    

ELISA    1/10000    

参考文献