DNMT1单克隆抗体[2D0G]

AccuSift
DNMT1 Mouse Monoclonal antibody[2D0G]
AIM; DNMT; MCMT; CXXC9; HSN1E; ADCADN
货号 名称 规格 价格 货期 数量
AC2096 DNMT1单克隆抗体[2D0G] 50ug ¥1250 1周
AC2096 DNMT1单克隆抗体[2D0G] 100ug ¥2200 1周

DNA (cytosine-5-)-methyltransferase 1 has a role in the establishment and regulation of tissue-specific patterns of methylated cytosine residues. Aberrant methylation patterns are associated with certain human tumors and developmental abnormalities. Two transcript variants encoding different isoforms have been found for this gene.

  


Aliases:    AIM; DNMT; MCMT; CXXC9; HSN1E; ADCADN    

Entrez GeneID:    1786    

Swissprot:   P26358     

WB Predicted band size :   183.2kDa    

Host/Isotype:    Mouse IgG1    

Species Reactivity:    Human    

Immunogen:    Purified recombinant fragment of human DNMT1 (AA: 1317-1616) expressed in E. Coli.    

操作说明

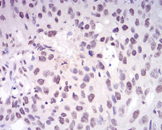
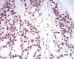
IHC    1/200 - 1/1000    

ELISA    1/10000    

参考文献